LINK Embrace Shoulder System
Many years of experience with successful implant systems and fixation concepts, as well as the latest material and coating technologies have been taken into account and applied in the design of the LINK Embrace Shoulder System. Designed as a versatile system, it covers a broad range of indications for reverse treatment in both primary and revision cases.1
System Overview Humeral Options
The LINK Embrace Shoulder System offers diverse fixation options suitable for the majority of patient populations and indications. A wide range of stems in different configurations allows for cemented and cementless fixation. Different types of Reverse Trays and Reverse Inserts offer several options for component alignment in all spatial planes.

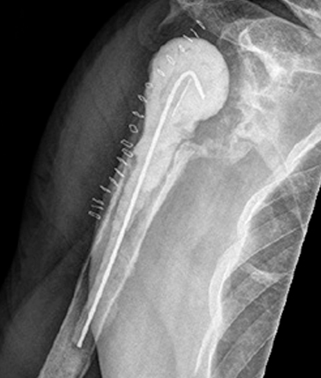
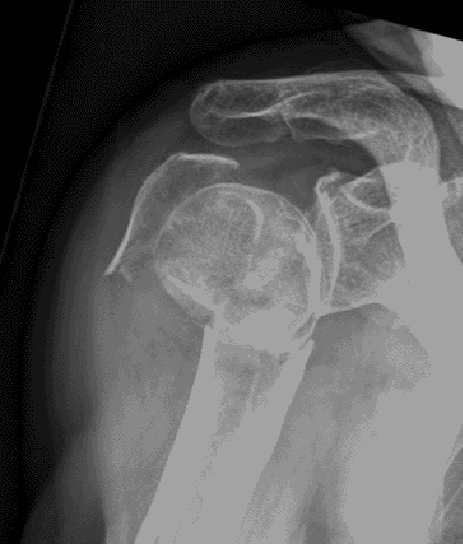
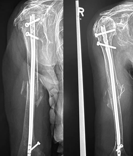
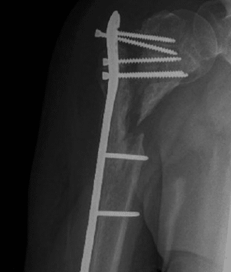
Patient Cases
Humeral Components

One of LINK’s major objectives in joint arthroplasty is the preservation of vital bone. In the LINK Embrace Shoulder System, Humeral Short Stems as well as Stemless Cages help to save valuable bone stock for possible future treatments and revisions. For stemless primary reverse arthroplasty, the LINK Embrace Shoulder System offers Stemless Ring Cages, designed for direct connection to the required Reverse Insert. Stemless Ring Cages may also be used for anatomic reconstruction with both Humeral Heads and CTA Heads by means of specific adapters. Bone contact areas of LINK Embrace Stemless Cages and Stemless Ring Cages are equipped with a TrabecuLink surface, aiming at good primary stability as well as fast and long lasting bony integration.1
For fracture and revision treatment
The system offers a set of modular Proximal Bodies in several sizes and heights to be paired with a broad range of Modular Stems, available in different diameters and lengths as well as different surface and coating options for cemented and cementless fixation.
The Proximal Bodies’ spiked surface, together with m-l and a-p holes for suture fixation, allow for stable and physiologic tuberosities reattachment. The modular concept of the fracture components supports the surgeon in achieving adequate joint restoration even in cases with poor anatomical landmarks.1

EXPLORE THE NEW WORLD OF SHOULDER SURGERY
System Overview Glenoidal Options
The glenoid components were designed specifically to address various treatment options depending on surgeon’s choice.1
Anatomic Configuration:
Cemented All-Poly Glenoid and Convertible Glenoid

Reverse Configuration:
Convertible Glenoid and Reverse Glenoid Baseplate
*Conversion only

Reverse Glenoid Baseplates
Depending on preference, the surgeon can choose from multiple types of the Reverse Glenoid Baseplates. Thanks to its elaborated design it can host a central Bone Screw and up to 4 peripheral Bone Screws. The surgeon can select from angle-stable (locking), polyaxial angle-stable (locking) and standard screw fixation with cortical and cancellous thread design.1 All standard Glenoid implants are designed with a curved back side resulting in bone sparing preparation and better fixation.7 Wedged and lateralizing Baseplates with diAerent oAsets and angulations as well as long pegged Baseplates are suitable for glenoid reconstruction to address glenoid defects and glenoid bone loss.3
This range of humeral and glenoid fixation options can be applied in all common configurations of shoulder arthroplasty. This facilitates the right treatment for each individual indication by appropriate component selection, adaption, fixation, size, oAset, version and joint tension.2
DON´T FIGHT THE CHANGE. EMBRACE IT!
Heads & Inserts
LINK is committed to provide surgeons with solutions for hypersensitive patients. In the LINK Embrace Shoulder System, all CoCrMo components are available without and with TiNbN modification, a thin layer all over the implant, reducing the diffusion of Nickel ions and, thus, helping to reduce the risk of adverse soft tissue reactions.1
The LINK Embrace Shoulder System is implanted by means of a streamlined, lightweight and ergonomic instrument set, allowing for straightforward workflow and high reproducibility.
Multi-purpose instruments and elaborated trial components help to reduce the amount of instruments and number of trays, thus enhancing the intra-operative handling and safety for both OR-staff, surgeon and patient.1

Humeral Components
Glenoid Components
Conversion to Reverse Configuration
Sources
- Internal document W. Link (DOC-11035)
- Internal document W. Link DOC-12528)
- Crosby et al. Conversion to Reverse Total Shoulder Arthroplasty with and without Humeral Stem Retention: The Role of a Convertible-Platform Stem. J Bone Joint Surg Am. 2017;99:736-42
- Castagna et al. Conversion of shoulder arthroplasty to reverse implants: clinical and radiological results using a modular system. International Orthopaedics (SICOT) (2013) 37:1297–1305.
- Kany et al. A convertible shoulder system: is it useful in total shoulder arthroplasty revisions? International Orthopaedics (SICOT) (2015) 39:299–304.
- Roche et al. Impact of Inferior Glenoid Tilt, Humeral Retroversion, Bone Grafting, and Design Parameters on Muscle Length and Deltoid Wrapping in Reverse Shoulder Arthroplasty. Bulletin of the Hospital for Joint Diseases 2013;71(4):284-93.
- Strauss et al. The glenoid in shoulder arthroplasty. Journal of Shoulder and Elbow Surgery (2009) 18, 819-833
- Patel M, Rao A, Edirisinghe Y. Glenoid reconstruction for primary or revision shoulder arthroplasty using a metal-backed long pegged glenoid implant and iliac crest autograft or allograft. In Proceedings of the 12th International Congress of Shoulder and Elbow Surgery (ICSES); 2013 Apr 10–12; Nagoya, Japan.











































